
입 벌리고 자는 아이돌출입 치아교정은 언제 어린이 치아교정을 해야 할까요?
저희 아이는 비염이 심해서 코가 항상 막혀 있는 상태입니다.
어려서부터 자주 입을 벌리는고 자는 것을 목격하는데요, 입을 닫아줘도 다시 벌리고 자더라고요.
그래서인지 지금은 입이 좀 돌출된 상태입니다.
돌출입 치아교정을 곧 해야 할 것 같아 주변에도 물어보고 여기저기서 정보를 찾고 있습니다.
요즘 같은 환경에서 많은 아이들이 비염을 가지고 있어 저희 아이처럼 입 벌리고 자는 아이들이 많아
주변 엄마들도 돌출입 치아교정에 관심 많은 것을 알 수 있습니다.
돌출입이란 얼굴 옆면을 볼 때 윗입술이 수직 기준선에서 10~15도 이상 앞으로 돌출된 상태나 턱이 뒤로 밀려 있는 상태를 의미하며, 이는 외모적인 콤플렉스 요인이 될 수 있으며, 치아의 기능적인 문제도 일으킬 수 있습니다.
돌출입은 대개 치아 크기, 형태, 위치 등의 이상과 상하악의 부조화로 인해 발생합니다.
이 경우 치아교정치료를 통해 개선이 가능하다. 치아교정치료는 심미적인 측면뿐만 아니라 기능적인 문제 개선에도 도움이 됩니다. 치아교정치료를 위해서는 아이의 구강 상태를 정확히 진단하고 이를 기반으로 맞춤형 치아교정 계획을 세우기 위해 디지털 장비를 활용하여 치아의 돌출 정도, 잇몸 노출 정도, 턱 형태 등을 검사해야 합니다.


돌출입 자가진단법
( √ ) 코 끝부터 턱끝까지 일자로 연결하였을 때 직선상에 입술이 닿음.
(√ ) 사진을 찍으면 항상 입부분이 어색함.
(√ ) 입술이 두껍거나 웃을 때 잇몸이 과하게 보임.
(√ ) 무의식 중에 입을 벌리고 있는 경우가 많음.
(√ ) 코끝과 인중 사이의 각도가 95도 이하임.
(√ ) 팔자주름이 유독 깊어 보임.
(√ ) 입술을 다물기 위해 힘을 주어야 함.
(√ ) 입을 다물면 턱끝에 잔주름이 잡힘.
(√ ) 턱이 짧거나 무턱으로 보임.
돌출입 어린이치아교정 시기
돌출입이 유전적으로 걱정이 되어 조기에 예방하고 싶다면 이를 위해 유구치가 나타난 순간부터 일상적인 구강 관리와 함께 전문적인 구강 치료를 받을 수 있습니다.
만약 골격적인 문제가 없고, 앞니에 외상이 예상되지 않는 경우라면 영구 소구치가 생긴 이후인 만 11세에서 12세 사이에 검진을 받고 치료를 받으면 매우 효과적입니다.
이때는 보철치료, 교정치료, 수술치료 등 다양한 치료 방법을 이용하여 돌출입을 예방하거나 개선시킬 수 있습니다.
만약 돌출입이 심한 경우나 골격적인 문제가 있는 경우에는 보다 전문적인 구강 치료가 필요할 수 있습니다.
그래서 가능하면 유구치가 나타난 순간부터 정기적인 구강 검진과 치료를 받아 돌출입을 예방하고 건강한 입모양을 유지하는 것이 좋습니다.
특히 성장기 아이들은 얼굴이 계속 바뀌기 때문에 돌출입 어린이치아 교정치료는 중간중간에 재평가 과정까지 거치면서까지 신중하게 결정하고 교정치료받는 게 좋습니다.



돌출입 어린이치아교정 계획시 고려사항
돌출입 치아교정은 치아가 상대적으로 앞으로 돌출되어 있는 경우에 대한 치료이므로 치아교정 치료를 쉽게 판단해서 안됩니다. 이를 치료하기 위해서는 3가지 사항을 고려해야 합니다.
1.정확한 진단을 위해서는 전문적인 치과의사의 검진이 필요합니다. 이를 통해 돌출입 치아 교정에 필요한 발치 또는 비발치 계획을 결정하면 됩니다. 치아교정에는 불필요한 치아를 제거하거나 공간을 확보하는 발치가 필요한 경우가 있습니다.
2.치아 이동 및 각도 개선 계획은 입술의 높이, 두께를 비롯한 전반적인 외모를 고려해야 합니다. 이를 위해 치과의사는 각 환자에 맞는 맞춤형 치아교정 계획을 고려합니다.
3. 치아교정 후에는 정확한 결과와 사후관리가 필요합니다. 이를 위해 치과의사는 치아교정 후의 복원력을 향상하기 위한 가이드라인을 제공하고, 교정기구의 사용 방법 및 관리 방법을 상세히 설명해야 합니다. 이를 통해 치아교정 결과의 만족도를 높일 수 있습니다.
따라서, 돌출입 치아교정을 위해서는 전문적인 치과의사의 검진과 맞춤형 치아교정 계획, 그리고 정확한 결과 및 사후관리계획을 세워야 합니다..



돌출입 어린이치아 교정의 목표는 돌출입을 정확하게 개선할 뿐만 아니라 아이의 외모가 확실히 달라진 모습에 높은 만족도를 얻는 게 치료의 가장 큰 목표라고 생각됩니다. 돌출입 어린이치아 교정을 통해 저희 아이의 입이 하루빨리 들어가면 좋겠네요.
돌출입 어린이 치아교정 검진 단계



1. 치아교정 전문이에게 임상검사


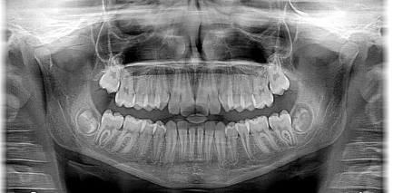
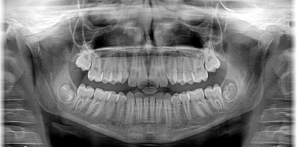
2. 두개골(머리뼈) 방사선 촬영



3. 치아 방사선 촬영


4. 치료받을 아이 얼굴 사진



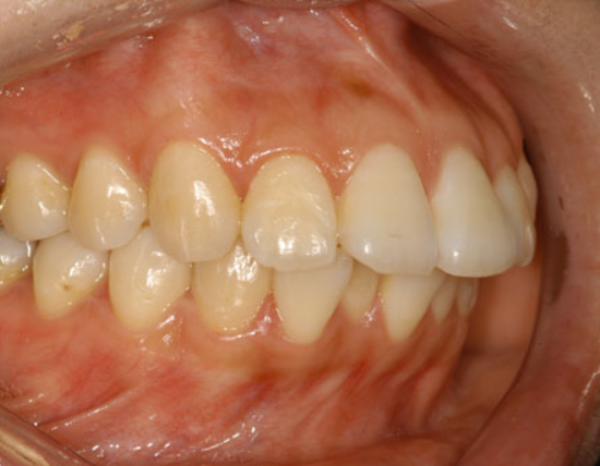
5. 입 안 치아 사진
돌출입의 문제점

1. 표정이 퉁명스럽고 화나 보임.
2. 얼굴 균형이 틀어져 보임.
3. 입술과 입술 주변까지 튀어나와 보임.
4. 턱 끝이 상대적으로 들어가 보임.
5. 웃을 때 잇몸이 심하게 보임.
6. 입이 늘 벌어져 있음.
7. 구강 질환에 자주 노출 되어 보임.
8. 입을 다물며 인중에 주름이 생겨 보임.
돌출입 어린이 치아교정의 장점



1. 돌출되었던 입이 들어가면서 코가 높아 보이고 턱 선이 살아나서 외모가 상대적으로 이뻐 보입니다.
2. 입이 들어가면서 호흡이 자연스럽고 편해집니다.
3. 돌출입으로 드러나 보이던 잇몸이 보이지 않게 되어 심미적으로 나아집니다.
4. 저작 능력과 발음등이 상대적으로 개선됩니다.
돌출입 어린이치아교정 기간



돌출입 유형에 따라 교정 방법과 사용되는 장치가 다양하게 적용됩니다. 앞니 돌출, 양악돌출, 무턱 돌출, 돌출과 잇몸 노출 등 다양한 경우가 있습니다. 자신에게 알맞은 교정 방법을 결정하기 위해 의료진과 충분한 상담이 필요하며, 의료진은 개별적인 상황을 평가하여 최적의 치료 계획을 제안받아 결정하면 됩니다.
돌출입 교정기간은 개개인의 부정교합정도나 돌출된 상태에 따라 차이가 생길 수 있지만, 평균 2년 정도의 기간이 소요됩니다. 그 기간이 단축되거나 더 늘어나는 경우도 있습니다.
댓글