폐암 원인/ 초기증상/ 치료법/ 예방법에 대해 알아보아요.


암 중에서 국내 사망률 1위가 폐암이라고 합니다. 폐암은 초기에 증상을 거의 느끼지 못하고 늦게 발견하여 치료시기가
늦어지는 경우가 있습니다. 정기적인 건강검진을 통해 암을 관리하게 가장 좋은 방법입니다.
2023.06.24 - [분류 전체보기] - 폐렴 증상 및 원인/폐렴 치료
폐렴 증상 및 원인/폐렴 치료
폐렴 증상 및 원인/폐렴 치료에 대해 자세히 알아보아요. 요즘 더운 날씨인데도 불구하고 아이들이 폐렴에 걸리는 경우도 주변에서 자주 듣습니다. 고열로 고생하다가 입원해서 치료받는 경우
greenlatte2.com
폐암 원인과 초기증상에 대해 잘 알아두었다가 건강에 이상 증상을 느꼈을 경우 빠른 시일에 병원에 방문하여 진단받으시길 바랍니다.
폐암이란?




폐암은 폐(레 ungs)에서 발생하는 암의 종류를 가리키는 용어입니다.정확히 말하면,폐암은 폐조직내에서 비정상적인 세포의 증식으로 인해 발생하는 암종류를 의미합니다.
이러한 비정상적인 세포들은 건강한 세포들과 다른특징을 가지며, 암조직을 형성하고 통상적인 폐기능을 정상적으로 활동하지 못하게 합니다.
폐암은 일반적으로 1기~4기로 분류되고, 단계별로 암의 크기와 확산정도에 따라 분석됩니다.
2023.05.12 - [분류 전체보기] - 중입자치료로 암세포를 정복 할 수 있을까?
중입자치료로 암세포를 정복 할 수 있을까?
중입자치료로 암세포를 정복할 수 있을까? 21세기를 살아가는 지금까지 암정복을 하지 못했습니다. 암정복이 가능할 것 같았는데 생각보다 빠르게 발전하지 못해서 안타까운 현실입니다. 현재
greenlatte2.com
■ 폐암 1기 (조기 단계 또는 초기 단계):
폐암이 폐내 한부분에 국한되어 있으며, 주변조직으로 확산되지 않은 경우
종종 우연히 발견되며, 증상이 미미하거나 거의 없을 수 있습니다.
■폐암2기(지역적으로진행된단계):
암이 폐내에서 성장하여 주변조직이나 림프덩어리에 확산된 경우
일부 환자들은 호흡곤란, 지속적인기침, 가슴통증등의 증상이 나타날 수 있습니다.
■폐암3기(지역적으로진행된단계또는영역적으로고급단계):
암이 폐에서 넓은 영역에 퍼져있으며, 주변조직이나 림프덩어리에 확산된 경우
호흡곤란, 가슴통증, 체중감소, 피로등의 증상이 심해질 수 있습니다.
■폐암4기(원격전이또는고급단계):
암이 폐에서 멀리 떨어진 부위에 전이되어 다른장기(예:간,뇌)에까지 퍼져있는 경우
흔히 다른부위에서 생긴 전이성종양으로 인한 증상이 나타납니다.
폐암 원인






폐암의 가장 주요한 원인으로는 흡연입니다. 흡연은 암 발생의 주요 위험 요인 중 하나로 알려져 있으며, 약 85%의 폐암 환자가 흡연과 밀접한 관련이 있습니다. 흡연은 담배 연기에 함유된 많은 유해한 화학 물질을 호흡기계로 흡입하여 폐 조직을 손상시킵니다. 하지만 비흡연자라고 해서 안심할 수는 없습니다. 흡연 외에도, 여러 가지 요인들이 폐암 발생 위험을 높일 수 있습니다. 여성 폐암 환자의 80% 이상은 흡연을 한 적이 없다고 합니다.
이러한 비흡연 여상의 폐암은 간접흡연, 미세먼지, 환경오염, 유해물질노출, 음식 조리 시 발생하는 오염물질등이 폐암 원인으로 볼 수 있습니다. 특히환기시설이열악하고,고온의기름을많이사용하는조리시설환경에서폐암의발생위험률이매우높을수있습니다.
2023.07.11 - [분류 전체보기] - 대장암 원인/초기증상/치료법/예방법
대장암 원인/초기증상/치료법/예방법
대장암 원인/초기증상/치료법/예방법에 대해 알아보겠습니다. 요즘은 식습관 문제로 대장암에 걸리는 나이가 점점 줄어들어 20대에 대장암에 걸리는 경우가 생기고 있습니다. 20~40대의 젊은 세
greenlatte2.com
1. 폐암원인- 비흡연자에게도 폐암이 발생할 수 있습니다.
흡연은 가장 큰 위험 요인이지만, 폐암은 흡연하지 않은 사람들에게도 발생할 수 있습니다.
2. 폐암원인- 환경오염, 미세먼지, 공업장소에서의 유해물질노출, 유전적인요인등이 폐암발생과 관련될 수 있습니다.
대기 중에 존재하는 유해한 화학 물질, 공업 폐기물, 공기 중의 미세먼지 등은 폐암 발생 위험을 증가시킬 수 있습니다. 이러한 오염은 공기 중의 유해물질을 흡입함으로써 암 발생 가능성을 높일 수 있습니다.
3. 폐암원인- 일부폐암은 유전적인요인에 의해 발생할 수 있는 확률이 높을수 있습니다.
가족 내에서 폐암이 집중적으로 나타나는 경우 유전적인 요인이 작용할 수 있으며, 일부 유전자 변이는 폐암 발생 위험을 증가시킬 수 있습니다.
4. 폐암 원인- 일부 직업환경에 따라 폐암 발생 위험을 증가시킬 수 있습니다.
폐암과 관련된 직업환경으로 볼 수 있는 석유 화학물질, 아스베스트 등을 다루는 직업, 석탄 광업, 금속 가공 공장 등이 있습니다.
폐암의 발생은 다양한 요인들의 복합적인 영향으로 결정되며, 개인의 특정 요인들이 암 발생 가능성이 높아질 수 있습니다. 흡연을 포함한 위험요인들을 피하고 건강한 생활습관을 유지하는 것이 폐암예방에 도움이될 수 있습니다.
폐암 초기증상






1. 폐암 초기증상- 만성적으로 지속된 만성기침이 폐암초기증상의 대표적인 증상 중에 하나입니다.
기침은 건조한 혹은 가래가 혼합된 형태일 수 있으며, 가래가 피를 포함하거나 생활 습관과 관계없이 지 속된 경우 병원을 방문해서 정확한 진단을 받을 필요가 있습니다.
2. 폐암 초기증상- 호흡이 어려워지는 호흡곤란증상도 폐암초기증상 중 하나입니다.
쉴 때 힘들거나, 일상적인 활동 중에 숨이 차거나 더 빨리 숨이 차는 경우입니다.
3. 폐암 초기증상- 폐암으로 인해 가슴 통증을 경험할 수 있습니다. 이 통증은 가슴 내부에서 발생하며, 흉곽 또는 등의 부위에서 느껴질 수 있습니다.
4. 폐암 초기증상- 폐암 환자는 호흡 중에 비정상적인 소리가 나는 경우가 있습니다. 부채꼴 소리나 궤양음 등의 소리가 나는 등의 흉부 이상 소리가 발생할 수 있습니다.
5. 폐암 초기증상- 폐암 초기에는 체중 감소가 나타날 수 있습니다. 이는 식욕 감소, 체내 대사 속도의 변화, 종양에 의한 영양 흡수의 감소 등 여러 요인에 의해 발생할 수 있습니다.
6. 폐암 초기증상- 폐암 초기에는 지속적인 피로와 체력이 약해지는 경우가 있습니다. 이는 종양이 성장하고 영향을 미치는 대사 과정으로 인해 발생할 수 있습니다.
7. 폐암 초기증상- 폐암 초기에는 반복적인 폐렴이나 기타 호흡기 감염이 발생할 수 있습니다. 이는 폐 기능의 저하로 인해 자주 감염을 일으킬 수 있습니다.
8. 폐암 초기증상- 폐암이 진행됨에 따라 피부에 변화가 나타날 수 있습니다. 무색 혹은 노란색의 얼굴, 손톱의 곡선 형태 변화, 손톱 침식 등의 피부 증상이 있을 수 있습니다.
9.폐암 초기증상- 뼈의 통증과 팔의 붓기 증상이 나타날 수 있습니다.
종양이 뼈로 전이되어 뼈의 통증을 느낄 수 있습니다.
다시 한번 강조하자면, 이러한 초기 증상이 있다고 해서 반드시 폐암이 아닐 수도 있으나 이러한 증상이 나타나거나 걱정되는 경우, 의료 전문가와 상담하여 정확한 진단과 치료를 받는 것이 중요합니다.
폐암 검사법






폐암을 진단하기 위해 사용되는 다양한 검사법이 있습니다. 폐암의 조기 발견과 정확한 진단을 위해 다음과 같은 주요 폐암 검사법들이 사용됩니다:
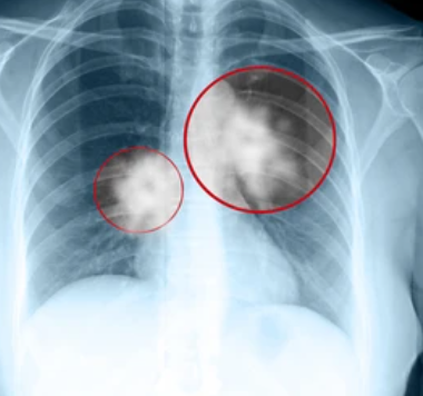
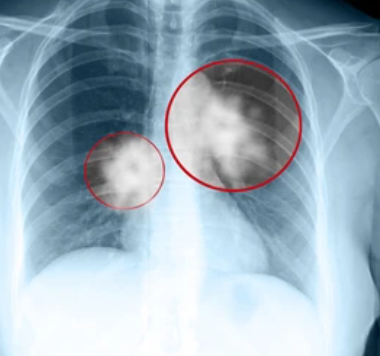
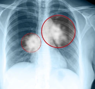
1. 폐암검사법- 흉부X선: 폐암검사에서 가장 일반적으로 사용되는 방법 중 하나입니다.
흉부X선은 폐의크기, 모양, 이상부분(결절,종양등)을 시각적으로 확인하는데 도움을 줍니다. 그러나 조기폐암을 발견하기어려울 수 있으므로, 더 정교한 검사가 필요할 수 있습니다.
2. 폐암 검사법- 컴퓨터 단층촬영(CT 촬영): 흉부 CT 촬영은 폐의 자세한 사진을 제공하는 비침습적인 검사입니다.
3D이미지로 폐의 구조와 이상부분을 자세히 확인할 수 있으며,폐암조기진단에 효과적입니다.
3. 폐암검사법- 기관지경검사(Bronchoscopy): 유연한 관을 이용하여 기관지와 폐의 내부를 직접 관찰하고 조직 채취를 할 수 있는 검사입니다.
이를 통해 이상부분을 진단하고 암세포의 유무를 확인할 수 있습니다.
4. 폐암 검사법- 흉부 초음파(Thoracic Ultrasound): 초음파를 이용하여 폐 부위를 확인하는 검사로, 흉부 CT 스캔과 함께 사용되어 이상 부분을 더 자세히 평가하는데 도움을 줍니다.
5.폐암검사법- PET-CT(양전자방출단층촬영/콤비네이션): 양전자방출단층촬영과 컴퓨터단층촬영을 합한검사로, 암세포의활성과 분포를 확인하여 암의 진행정도를 평가합니다.
6.폐암검사법- 폐생검(LungBiopsy): 폐조직에서 직접 샘플을 채취하여 암세포의 존재와 종류를 확인하는 검사입니다.
다양한 방법이 있으며, 기관지경생검, 폐포생검, 초음파유도 폐생검등이 있습니다.
7.폐암검사법- 마커검사(TumorMarkers): 폐암에서 사용되는 특정 단백질또는 화학물질의 수치를 측정하여 암의 진행정도나 치료반응을 추적하는데 사용됩니다.
이러한 검사들은 종합적으로 사용되며, 폐암의 조기발견과 정확한 진단을 위해 의료전문가와 함께 적절한 검사방법을 선택하는것이 중요합니다.
폐암 치료법






폐암의 치료방법은 암의 단계, 종류, 환자의 건강상태등에 따라 다양하므로 의사와 상담후 환자의 건강상태에 따라
맞는 치료방법을 선택하시길 바랍니다.
1. 폐암치료법- 수술(Surgery)
1기, 일부 2기 폐암 환자에게 주로 사용할 수 있는 치료법입니다.
종양을 완전히 제거하고 건강한 조직을 보존함으로써 폐 기능을 유지하도록 하기 위함입니다.
수술방법으로는 폐절제술(Pneumonectomy)있습니다.
폐절제술의 일부분만 제거하는 부분폐절제술과 폐의 한 부분을 제거하는 세그먼트절제술등이 있습니다.
2. 폐암치료법- 방사선치료(RadiationTherapy)
수술은 불가능하거나 추가적인치료가 필요한 경우에 치료할 수 있는 치료법입니다.
방사선을 사용하여 암세포를 파괴하고 성장을 억제시킵니다.
외부조사방사선치료 또는 내부적으로 방사선을 삽입하는 내부조사방사선치료가 있습니다.
3. 폐암치료법- 항암약물치료(Chemotherapy)
전이성폐암 또는 종양이 넓은 범위로 퍼져 있는 경우에 사용됩니다.
항암약물을 사용하여 암세포를 파괴하고 암의 확산을 제어시킬수 있는 치료법입니다.
항암약물은 혈관을 통해 전신으로 전달되므로, 폐 이외의 다른부위에도 동시에 효과가 있을 수 있습니다.
4. 폐암치료법- 대상치료(TargetedTherapy)
특정 유전자변이를 가진 폐암환자에게 사용되는 맞춤형치료법입니다.
특정 유전자변이가 발견된 경우 해당변이를 가중치로 삼아 표적으로 하는 치료법입니다.
항암작용을 더 정확하게 집중시킬 수 있어 정상세포를 최대한 보호할 수 있습니다.
5. 폐암치료법- 면역요법(Immunotherapy)
종양을 식별하고 파괴하는 면역체계를 강화하기 위해 사용되는치 료법입니다.
면역세포를 활성화시켜 암세포와 싸우게하거나, 암세포의 면역회피기전을 억제하여 암성장을억 제시킵니다.
특히 전이성폐암의 치료에 효과적일 수 있습니다.
6. 폐암치료법- 보조요법(SupportiveCare)
치료과정에서 발생하는부작용이나합병증을 관리하고,환자의 편안함과 삶의 질을 향상할수 있는 치료법입니다.
호흡곤란, 피로, 체중감소등을 관리하고, 영양지원, 통증관리등을 포함합니다.
폐암의 치료는 개별적인 환자의 상태와 암의 특성에 따라 다양하게 조합될 수 있으며, 종종 여러가지 치료방법을 혼합하여 사용합니다.
이러한치 료방법은 의료전문가와 상의하여 최적의 치료계획을 세우고 그에 맞게 치료방법을 선택하는게 가장 좋습니다.
폐암 예방법






폐암은 예방이 가능한 암 중 하나로, 건강한 생활 습관과 위험 요인을 피하는 것이 폐암 발생 위험률을 낮출 수 있습니다.
아래는폐암예방을위한주요방법들에대한분석입니다:
1. 폐암예방법- 흡연금지
가장 중요한 폐암 예방 방법은 담배 흡연을 피하는 것입니다. 흡연은 폐암의 가장 큰 원인으로 알려져
있으며, 비흡연자에 비해 흡연자의 폐암 발병 위험이 훨씬 높습니다.
흡연을 시작하지 않거나, 이미 흡연하고 있다면 최대한 빨리 금연하는 것이 중요합니다.
2. 폐암예방법- 미세먼지및 환경오염 줄이기
공기 중의 미세먼지와 환경오염 물질은 폐 건강에 영향을 미칠 수 있습니다.
가능하다면 공기가 깨끗한 지역에서 생활하고, 미세먼지와 환경오염이 심한 장소를 피하는 것이 좋습니다.
3. 폐암예방법- 건강한 식습관과 체중유지
영양가 있는 식단을 유지하고, 신선한 과일과 채소를 많이 섭취하는 것이 폐 건강에 도움이 됩니다.
과다한 체중은 폐암 발생 위험을 증가시킬 수 있으므로, 건강한 체중을 유지하는 것이 중요합니다.
4. 폐암 예방법- 규칙적인 운동 꾸준히하기
규칙적인 운동은 폐 건강을 증진시키고 폐 기능을 향상할 수 있습니다. 적어도 주 3~5회, 30분 이상의
유산소 운동을 하는 것이 좋습니다.
5. 폐암 예방법- 환경적 위험요소 피하기
유해 물질을 다루는 직업이나 환경에서 근무하고 있는 경우, 안전 규정을 준수하고 보호장비를 사용하는 것이 중요합니다. 특히 아스베스트와 같은 유해 물질에 노출되는 것을 피하는 것이 폐암 예방에 도움이 됩니다.
6. 폐암 예방법- 정기적인 건강검진
폐암의 조기 발견은 치료와 예후에 큰 영향을 미칩니다. 만약 흡연이력이 있거나 다른 폐암 위험 요인들이 있는 경우, 정기적으로 폐암 검진을 받는 것이 중요합니다.
7. 폐암예방법- 흡연자를위한금연지원
이미 흡연 중인 경우 금연을 위한 지원을 받는 것이 매우 중요합니다. 금연 지원 프로그램, 담배를 끊는
치료제, 상담 등을 활용하여 흡연을 끊을 수 있습니다.
폐암 예방을 위해서는 개인의생활습관과 주변환경에 유의하며, 가능한 위험요소들을 최소화하는 것이 중요합니다.
건강한 삶을 살기위해서는 폐암 예방법들을 지속적으로 실천하고, 주기적으로 의료전문가와 상담하여 건강상태를 확인하는 것이 좋습니다.
댓글